Teeth Grinding

 

Teeth grinding, or bruxism, is when you clench or grind your teeth, often during sleep, which can wear down teeth and strain jaw muscles. At C.S Dental Hospital in Nallagandla, we look for signs of grinding and plan ways to protect your teeth and jaw joints.

When you may need help for teeth grinding

  • Jaw pain, stiffness, or clicking, especially in the morning

  • Dull headaches or facial muscle soreness on waking

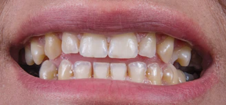
  • Flattened, chipped, or worn teeth

  • Bed partner hearing grinding sounds at night

How treatment helps
Custom night guards can act as a protective layer between your upper and lower teeth, reducing direct wear, and we may suggest bite adjustments or other measures based on your case.

Why choose C.S Dental Hospital
We combine history, clinical examination, and tooth wear patterns to diagnose bruxism and advise practical solutions that fit into your daily routine.


If you suspect teeth grinding or jaw pain, visit C.S Dental Hospital in Nallagandla for an assessment.

a close up of food
a close up of food