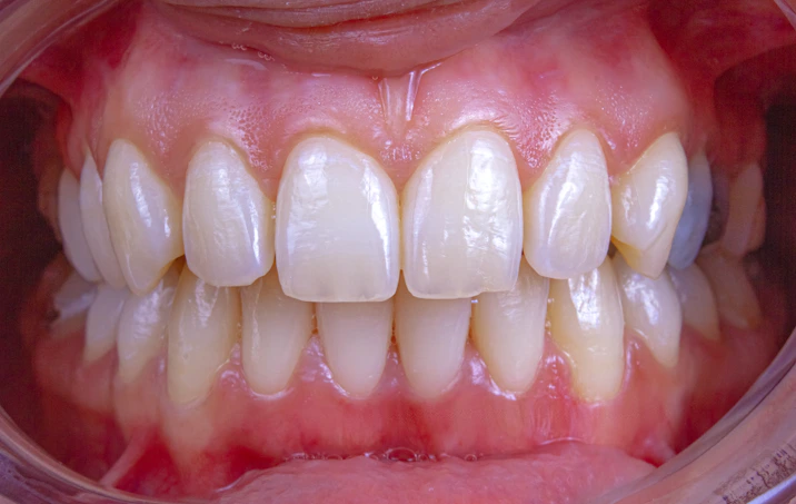
Gum Surgeries

 

Gum surgeries and gum shaping (gum contouring) are procedures aimed at treating gum disease or reshaping uneven gums for better health and appearance. At C.S Dental Hospital in Nallagandla, we evaluate your gums, pockets, and smile line to decide whether conservative or surgical gum treatment is appropriate.

When you may need gum treatment

  • Swollen, bleeding, or receding gums

  • Deep pockets around teeth on probing

  • Loose teeth due to gum disease

  • “Gummy” smile or uneven gum levels affecting appearance

How gum treatment helps
Gum surgeries can reduce pocket depth, remove diseased tissue, and improve access for cleaning, while gum shaping refines the gum line around teeth to create a more balanced smile. Together, these treatments support both gum health and cosmetic appearance.

Why choose C.S Dental Hospital
We examine your gums clinically and radiographically, discuss the type of gum problem you have, and plan non‑surgical or surgical treatment with clear explanations and post‑care guidance.


If you have bleeding gums or an uneven gum line, consult C.S Dental Hospital in Nallagandla for gum treatment options.

a close-up of a person's mouth
a close-up of a person's mouth